矯正治療の選択肢として、マウスピース矯正やゴムメタル矯正、舌側矯正などさまざまな治療方法に対応しており、患者様の症状やお悩みから、適切な治療方法をご提案いたします。
【インタビュー動画 (2:48)】
歯列矯正の他ページ案内
山道歯科の歯列矯正の特徴
(福岡天神)
「抜歯」は最終手段(非抜歯矯正)

抜歯矯正では、健康な歯を2本もしくは4本抜歯します。そして、もちろん抜いた歯の分だけ噛み合わせる面積は減少します。
上下の歯のバランスが極端に異なる、あるいは審美的なご希望を叶えるために抜歯せざるを得ない場合もありますが、機能を重視するために抜歯は基本的に最終手段と考えています。
機能の改善を第一に(非抜歯矯正)

一本の歯の価値は、50代、60代、70代、そして80代と年齢を重ねていくごとに高くなることを実感しています。これからの未来で健康的な生活を送る患者様の姿を想像し、当院では機能面を第一に考え、可能な限り非抜歯矯正治療をお勧めしております。
また、歯列矯正後には精密な噛み合わせ調整もおこないます。機能の改善を重視した矯正治療にはこれが欠かせません。
ノウハウ・技術があるから「短期間」

歯並びや噛み合わせの状態にもよりますが、治療期間は6ヶ月~1.5年の範囲が大半で、長くかかっても2年間です。短期間での矯正治療を可能にしているのが「ノウハウ」「技術」「材料」です。
私たちの医院では矯正治療に限らず、インプラント治療や歯周病治療、また審美歯科治療に至るまで、当院内で一貫した治療を受けていただくことができます。これは歯科医師が目指す治療のゴールが変わらないということでもあります。
1医院で完結する効率的な一貫治療

歯科医師にも個人あるいはクリニックによってそれぞれ考え方があり、関わる歯科医師が増えれば増えるほど、ゴールの共有が難しくなります。また、矯正治療もその他の治療も、1人の患者様のお口の中でおこなわれるものであり、治療の順序や方法なども、治療の精度やスピードに大きく相互作用をもたらします。
臨床実績・データをもとに
全ての歯科治療に対応
インプラントや被せ物が絡んでくるとなおさら治療の順序は非常に大きな要素となりますが、ここが当院の多彩な臨床実績・データから導き出される「ノウハウの真髄」です。1つの医院で完結できるからこそ効率的な一貫治療となり、1人の患者様1口腔として、すべての歯科治療に取り組んでおります。
日本歯周病学会認定医による矯正治療

歯周病の方が矯正治療をおこなう場合、歯周病治療や管理が必ず必要になります。また、矯正治療中は歯周組織や歯に負担がかかることも。
当院では、日本歯周病学会認定医が歯周病治療や管理と並行して、歯列矯正をおこなうのはもちろんのこと、初期の歯周病などを見逃すことなく治療をおこなうことができます。
日本形成外科学会専門医との連携


患者様の中には、歯並びだけでなく口元の印象や骨格の問題が気になり、カウンセリングにお越しいただく方も少なくありません。
当院では、同ビル内の美容外科・美容皮膚科の日本形成外科学会専門医と連携をとり、患者様の理想の口元を実現いたします。
見た目と機能の
バランスがとれたゴールを

患者様のご希望と最終的な見た目のバランス。そして機能のバランス。この複雑なバランスのとれたゴールを、患者様と歯科医師、歯科衛生士で一緒に探していき、最終的に患者様ご自身の健康と理想を叶える矯正治療を受けていただくことが最も大切です。
当院で矯正治療を受けた患者様がこれから先、年齢を重ねても、笑顔で健康な生活を送れることが、私たちの何よりの成功です。
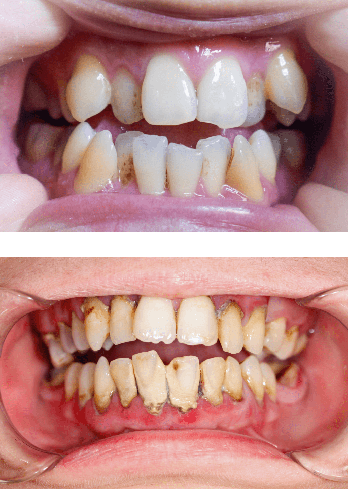
歯並びの悪さが与える影響


当院にはインプラント治療を求め、歯を無くされた患者様が大勢いらっしゃいます。歯を失った原因は千差万別で、歯周病や虫歯、歯の破折などさまざまです。
共通点は「歯並び」
多くの患者様に共通する点が歯並びの悪さです。歯周病も虫歯も細菌や口腔清掃状態など、多くの要素が重なり発症するものですが、その要素の一つに「歯並び」が挙げられます。歯並びが悪いと以下のような状態を引き起こします。
-
- バラバラの方向を向いた歯には
不均衡な力がかかる - 入り組んだ部分の清掃が難しい
- バラバラの方向を向いた歯には
-
- 入り組んだ歯が干渉して
顎関節の動きが妨げられる
- 入り組んだ歯が干渉して
このような状態が長期間続くと、最終的に歯周病や虫歯、歯の破折、あるいは顎関節症などの疾患として表面化してくるのです。
矯正治療は
全てのライフステージで必要

当院は歯を失ってしまった方にインプラント治療を多くおこなってきましたが、インプラントも歯と同じく悪い歯並びの中に組み込まれると、長期間安定した状態を維持するのが難しくなります。
インプラントにかかる力の問題もそうですし、清掃が難しいという点も大きく影響しているでしょう。歯を失う要素は、インプラントを失う要素でもあるのです。
歯列矯正でお口の環境を整える

インプラント治療をおこなう患者様には必ず、歯周病や虫歯の治療も受けていただき、口腔内全体の環境を整えていきます。その一環として、必要な場合には歯科矯正治療もご提案します。
私たちが矯正治療が必要な状態だとご説明すると、「もう若くないから」とおっしゃる方がいらっしゃいます。矯正治療は子供〜若年層というイメージが一般化しているので、そのお気持ちはよくわかります。しかし、今の口腔状態から悪化させないための予防的な視点からも、矯正治療は必要です。
幅広い年齢層の患者様に対応

実際に当院では小学生にはじまり70代の方まで、幅広い年齢層の患者様が矯正治療を選択されています。当院ではこのような矯正治療の考え方を、歯周病や誤嚥性肺炎、虫歯など、あらゆる歯科疾患のリスクを下げる「積極的予防矯正」と位置付け、歯並びを改善したほうがよい部分がある方には矯正治療をご提案しています。
■ 治療開始前の無料相談
上記説明は例を挙げての治療の説明であり、個々の患者様の状態等により治療の費用、方法や結果が異なります。治療の方針や治療費に関しては治療開始前にご説明しますので、まずは当院まで矯正相談をご予約ください。
■ 歯列矯正の主なリスク・副作用
歯列矯正は歯が動いて最終的にはいい噛み合わせと見た目が獲得できます。しかし、治療中は噛み合わせが変化していくために、噛みづらい、痛みを伴うといったことがあります。このような不調は1ヶ月程度で治ることが多いものの個人差がございます。詳しくは治療計画説明の時にお伝えいたします。
- 出版論文
- PRD YEARBOOK 2023
特集:成人矯正を成功に導くための歯周‐矯正治療『成人矯正治療における歯肉退縮の新たな根面被覆を用いたアプローチ法』 - 山道研介
- https://www.quint-j.co.jp/products/4726




























