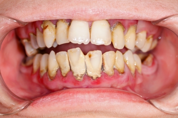
歯周病で歯を失う前に

歯周病とは、歯垢や歯石がついて歯と歯茎の間にある溝(ポケット)に炎症が起き、歯茎が赤く腫れ、血や膿(うみ)が出る病気のことで、放っておくと骨までも溶かし、最後には歯が抜け落ちてしまう恐ろしいものです。
歯周病の症状
お口の中に次のような症状がある方は歯周病が進行しつつあります。
-
- 口臭がする
- 口の中がネバネバする
-
- 歯を指で動かすと、グラグラ動く
- 虫歯でもないのに冷たい水がしみる
-
- 歯ブラシをすると歯茎から血が出る
- 歯茎を指で押すと
膿(うみ)が出てくる
-
- 歯と歯茎の境目や歯と歯の間に
歯垢がついている - 歯茎が下がり
歯が長くなったように見える
- 歯と歯茎の境目や歯と歯の間に
歯周病による全身への影響

歯周病を放置することは、お口の問題にとどまらず、全身に広がり影響を与えることが報告されています。歯周病菌は、歯周病の進行に伴って、歯茎の血管を通じて血流に乗り、全身へと広がります。
全身疾患との関係

例えば、歯周病の方は心筋梗塞のリスクが約2倍になると報告されています。歯周病を放置することで、さまざまな全身疾患を招いてしまう可能性があるのです。歯周病を予防することは、健康寿命を延ばすことにつながります。
全身疾患の例
-
- 糖尿病
- 心内膜炎
-
- 動脈硬化
- 誤嚥性肺炎
-
- 早産・低体重児出産
- 心筋梗塞・虚血性心疾患 など
歯周病から歯を守るには

- 栄養指導を受ける
- 歯磨きの指導を受ける
- 噛み合わせの調整をおこなう
- 家庭でできる予防法を指導してもらう
- 定期的に歯垢・歯石を除去してもらう
- 食べカスが詰まるような
詰め物、
金属冠は入れ替える
これらの予防をしていても、歯周病になってしまったという場合には、歯周病治療(歯周外科療法)をおこないます。
山道歯科の歯周病治療
(福岡天神)
日本歯周病学会専門医による
歯周病治療

当院の歯周病治療は日本歯周病学会専門医である副院長の山道が担当し、専門性の高い予防や治療、管理を徹底しておこなっております。専門性の高い知識や治療技術で、重度の歯周病に対する外科処置などにも対応することが可能です。
ティッシュエンジニアリングによる
歯周組織の再生

放っておくと歯周病で抜歯を余儀なくされるような歯でも、歯周組織を再生させる「ティッシュエンジニアリング」という治療法で、抜歯しなくても済むようになりました。
ティッシュエンジニアリングとは、身体の組織を再生させたり、再生組織を作るための工学的手法のことです。
インプラント治療への応用

例えば、歯を失い骨や歯茎が痩せ細り、通常インプラントができないような状態でも、患者様ご自身の血液を採取し、特殊な加工をして骨造成手術に使用(ティッシュエンジニアリング)することにより骨の再生期間が短縮され、インプラント治療が早期にできるようになりました。
当院では約20年前から、ティッシュエンジニアリング法を取り入れており、歯の延命措置に応用することにより良好な結果が得られ、大変喜ばれています。
自己血由来の血小板PRFによる
骨組織の再生と修復

当院では、骨組織再生・軟組織再生をおこなう際に、Platelet Rich Fibrinと言われる患者様の自己血由来の血小板を8万倍まで濃縮したMultiple Growth Factorを人工骨とある一定の割合で混合し、欠損部位の骨組織の再生と修復を速やかに達成させます。
一方で、歯周組織再生療法をおこなう場合は、Emdogain gel®︎(Straumann, Switzer land)を使用し、抜歯が必要と判断された歯でも限りなく歯を残せるように処置をおこないます。
遠心分離機を用いたPRPの生成
PRPとは、Platelet Rich Plasma(多血小板血漿)の略語で採取した血液の中から濃縮した血小板を取り出した血漿のことです。血小板はそもそも体の細胞の増殖を促進する成長因子があることが発見されており、止血作用とともに血管や組織の修復機転に関与することが解明されています。
Emdogain®を用いた
歯周再生療法


エムドゲインゲル®を用いた歯周再生療法を完全個室の手術室にておこなっております。エムドゲイン療法は、失った骨や歯周組織の再生を促進させる治療方法です。
当院副院長・山道研介は九州大学大学院歯周病学分野にて、エムドゲインゲル®の主成分であるAmelogeninの創傷治癒促進効果のメカニズムを免疫細胞の遺伝子レベルで解明し、国内外問わず多数の研究報告をおこなってきました。
科学的根拠に基づく歯周組織再生療法をご希望の方はどうぞお気軽にご相談ください。
歯周再生治療の流れ
- 1.局所麻酔
- 2.採血
- 3.切開
- 4.マイクロスコープ・YAGレーザー・専用の超音波機器を使用した歯の根の清掃
- 5.エムドゲインゲル®の塗布
- 6.必要に応じて様々な材料を駆使して、最適な骨再生を促進
- 7.縫合
短期集中治療をご希望の方へ

短期間で集中的に歯周病を改善します。それぞれの患者様の口腔内環境を唾液検査をもとに把握・評価し、状態に適した治療法をご提案します。
歯周病の状態を確認する「唾液検査」

唾液の状態から歯周病の状態を確認します。少量の唾液を採取し、6つの指標から歯周病、虫歯の状態などの口腔環境を評価します。
- 治療開始前
- 口腔環境に応じて適切な治療をご提案
- 治療途中
- 治療方法の評価
- 治療終了後
- 治療効果の評価、次のステップの治療が必要か否かの評価
歯周病の原因菌を特定する「細菌検査」

歯周病は複合的な原因で引き起こされる疾患です。罹患者数が最も多い疾患としてギネスブックに掲載されています。
原因の一つとして細菌が挙げられますが、その細菌にもいくつかの種類があります。必要に応じて、歯周病の原因となっている菌種を特定するために細菌の同定検査をおこない、治療方針を決定します。
P-max による歯石除去

当院が導入している超音波機器 P-max は通常のものよりも先端が細く、形態もそれぞれの部位に応じてデザインされているため、歯の根の入り組んだ、細かい隙間の歯石まで除去することができます。
光殺菌(LAD)療法

感染部分の歯周ポケットに光感受性物質を注入し、光を照射することで殺菌する、安全で保存的な治療方法です。抗菌薬(抗生物質)を使用せず、あらゆる細菌に有効です。
バクテリアセラピー(ロイテリ菌療法)

バクテリアセラピーは予防歯科先進国であるスウェーデンで主に研究され、近年広く知られ始めました。天然プロバイオティクス「ロイテリ菌プロデンティス」を継続して摂取することで口内フローラを改善し、歯周病の悪化を予防します。
大切な歯を失ってしまったら・・・

万が一、ご自身の大切な歯を歯周病やなんらかの理由で失った場合、インプラント治療(人工歯根法)という選択肢があります。
人間の歯の根のかわりにチタンという金属のネジをアゴの骨に埋め、その上にセラミック又は金属でできた歯を固定するものです。歯が1本抜けた方から部分的に失った方、すべての歯を失った方まで対応することが可能です。
治療方法にお悩みの方は、一度当院までご相談ください。
■ 歯周病治療の主なリスク・副作用
歯周病治療は外科処置を伴いますので、術後に腫れたり、痛みを伴うことがあります。個人差もありますが通常であれば、1週間程度、腫れや痛みが持続します。部位により腫れやすい部位や痛みやすい部位がありますので、詳しくは治療計画説明の時にお伝えいたします。
■ 治療開始前の診断
上記説明は例を挙げての治療の説明であり、個々の患者さまの状態等により治療の費用、方法や結果が異なります。治療の方針や治療費、治療等の主なリスクや副作用等に関しては治療開始前にご説明しますので、まずは当院まで治療の相談を予約して下さい。




























