2026.04.06
福岡天神 矯正歯科 叢生/ガタガタ/非抜歯矯正の症例
患者様の相談内容
「人前で笑えないのがずっとコンプレックスでした。受け口の歯並びは長年気になっていたけれど、もう40代だし、今さら治療するのもなぁと…」
ご相談くださいました。



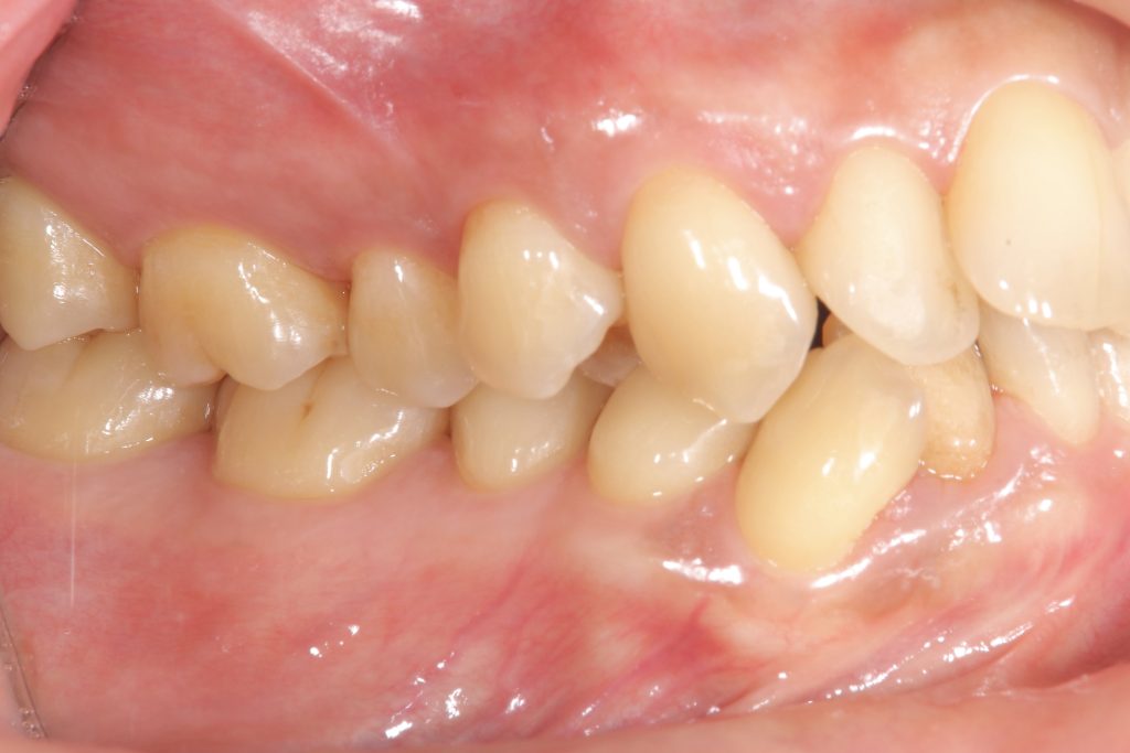
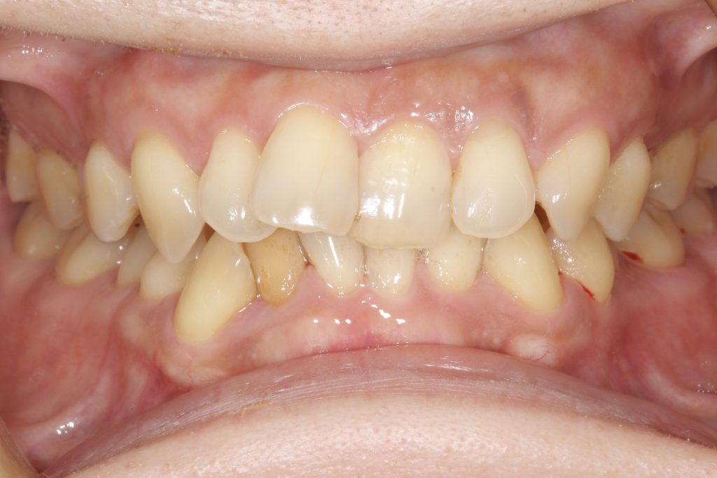
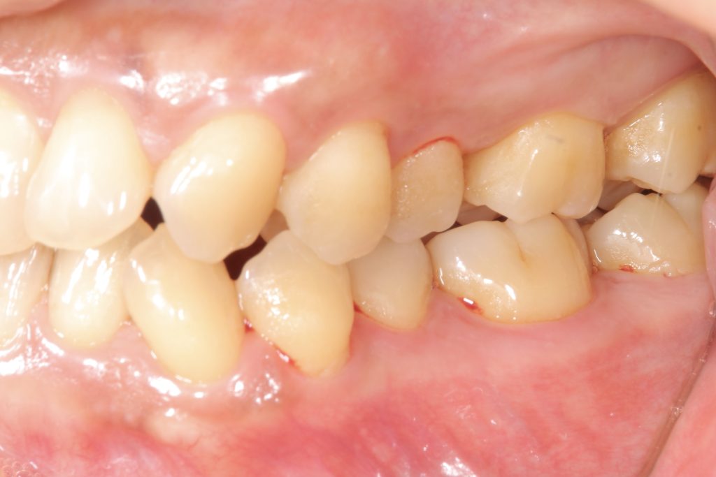
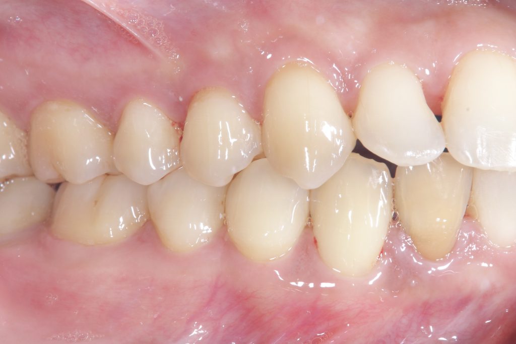
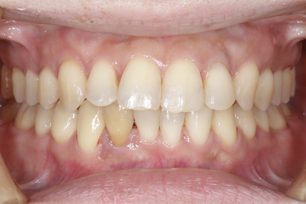
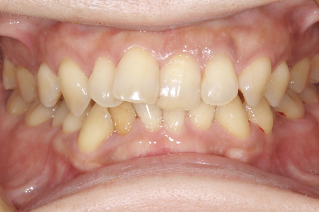
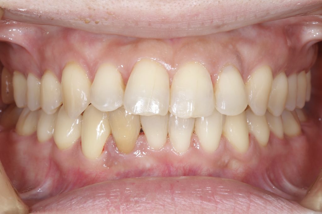
受け口の状態により、上の歯が内側に入り込み、反対の噛み合わせになっている部分が見られました。見た目の問題だけでなく、噛み合わせのバランスにも影響を与えていました。
「年齢的にもう遅い」と感じている方へ
短期間で、納得できる治療を目指して
「なるべく早く、確実に治したい」というご希望を踏まえ、ワイヤー矯正による治療を選択。
仕事が忙しく、人と会う機会も多いというライフスタイルに配慮し、なるべく目立ちにくい審美性の高いブラケットと白いワイヤーを使用しました。

さらに、患者様のご協力により、ゴムかけなども計画的に実施できたことで、わずか10ヶ月という短期間で矯正装置を外すことができました。
自信を持って笑えるようになった、その瞬間
治療終了後、整った歯並びに患者様ご自身も思わず感動されたご様子で、
「これでやっと人前でも自信を持って笑えます。やってよかった、本当にそう思います。」というお言葉をいただきました。





山道歯科 国際矯正・インプラントクリニックでは、年齢やこれまでの経緯に関係なく、“今”からできる最善の治療を一緒に探すことを大切にしています。
ただ見た目を整えるだけでなく、その方の生活や価値観に合わせた治療設計を行い、患者様の人生そのものにポジティブな変化をもたらすことを目指しています。
「40代でも大丈夫?」「仕事が忙しいけど続けられる?」
そんな疑問も、まずはお気軽にご相談ください。
あなたらしい笑顔と健康のかたちを、私たちと一緒に見つけていきましょう。
大切なのは、「手術をするかしないか」「抜くか抜かないか」を先に決めることではなく、まずご自身の状態を正確に診断し、そのうえでどの方法が最も合理的で、長期的に納得できる治療なのかを考えることです。
当院の精密検査について
当院では、精密検査(55,000円)にて、見た目だけではなく、骨・歯・咬合の関係を総合的に評価します。矯正治療にあたって抜歯が本当に必要なのか、どの程度まで非抜歯矯正で機能性を保てるのかは、一人ひとりの状態によって判断が変化します。
無理に治療を勧めることはありません。まずは、今の診断に本当に納得できているか、他に選択肢がないのかを知るための専門医によるセカンドオピニオンとしてご相談いただければと思います。
矯正治療を検討されている方は、福岡市中央区天神、西鉄「福岡天神駅」より徒歩6分、福岡市営地下鉄「天神駅」1番出口より徒歩4分にある歯医者「山道歯科 国際矯正・インプラントクリニック」にお気軽にご相談ください。
当院は、「お口本来の機能を回復させ、より美しくより長持ちさせる」ことをコンセプトに診療にあたっています。一般歯科だけでなく、インプラント治療や矯正治療、歯周組織再生療法などにも力を入れております。
ご予約・ご相談はURL先のピンクのボタン、次へを押して問診票へご記入をお願いします
https://www.genifix.jp/yamamichi-dc-caa/s/login/
治療担当医・記事監修:山道 研介
担当医プロフィール
Dr. 山道 研介
日本歯周病学会認定 歯周病専門医/デジタル矯正学会認定医
PRD日本版、国際誌等に論文掲載多数
- 歯周再生・矯正・インプラント・審美補綴の統合治療に精通
- 『THE NEXT LEVEL 骨造成の完成形(Istvan. Urban著)』日本語版 翻訳統括を担当
- 成人矯正を安全に導くための矯正治療症例が世界最新テクニックとしてPRD日本版に掲載
- GBR後20年の長期インプラント成功症例が世界最新テクニックとしてPRD日本版で掲載
- クインテッセンス出版主催 World Young Dental Innovators Meeting にて日本を代表する若手臨床家として2期連続選出
- 非抜歯矯正の適応症を拡大させるためのSIED Techniqueを開発
最後までご覧いただきありがとうございました。
- 患者様
- 40代 女性
- 診察結果
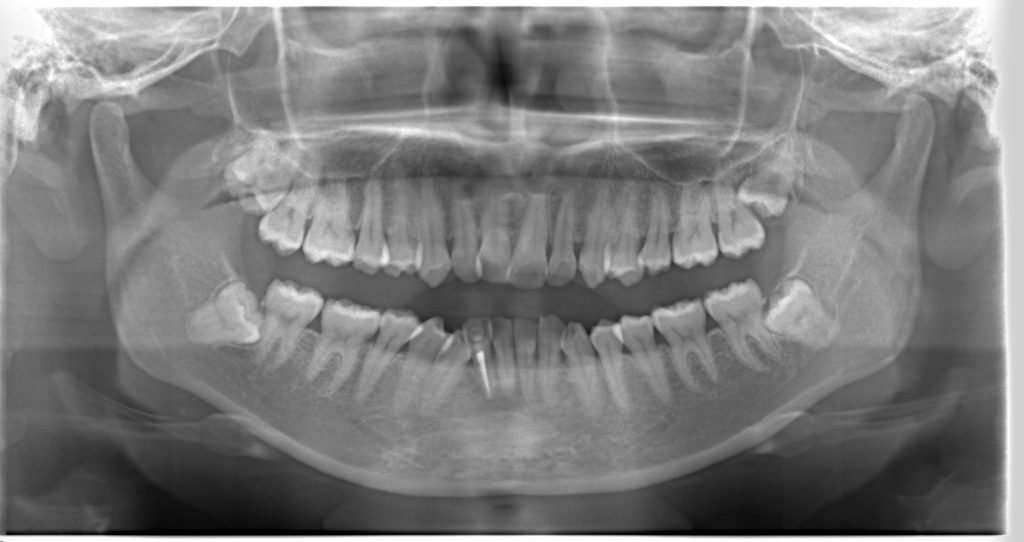
- 前歯部交叉咬合を伴う不正咬合
- 治療内容
- ゴムメタルワイヤー矯正
- 治療完了日と治療期間
- 2024年9月6日(10ヶ月)
- 総治療費
- 約90万円(税込)
- 治療後のメンテナンス
- 3ヶ月に1回の通院によるかみ合わせや歯周病の進行状態のチェック
歯科矯正治療は矯正装置装着後、個人差がありますがある一定の期間痛みを伴いますので、食事がとりにくかったり、物が噛みづらい、発音しづらい、口内炎ができるなどの不快感を伴う場合があります。口の中が狭い人、広い人で痛みの度合いが変わります。また、矯正治療は定期的な通院などの患者様のご協力が必要です。矯正装置の種類によりメリットデメリットがありますので、詳しくは治療計画説明の時にお伝えいたします。
上記説明は例を挙げての治療の説明であり、個々の患者様の状態や難易度により治療の費用、方法や結果が異なります。治療の方針や治療費、治療等の主なリスクや副作用等に関しては治療開始前にご説明致しますので、まずは当院まで治療の相談を予約されて下さい。





























