2026.04.15
歯のセラミック治療の値段は?治療を受ける前に知っておきたいこと
こんにちは。福岡市中央区天神、西鉄「福岡天神駅」より徒歩6分、福岡市営地下鉄「天神駅」1番出口より徒歩4分にある歯医者「山道歯科 国際矯正・インプラントクリニック」です。

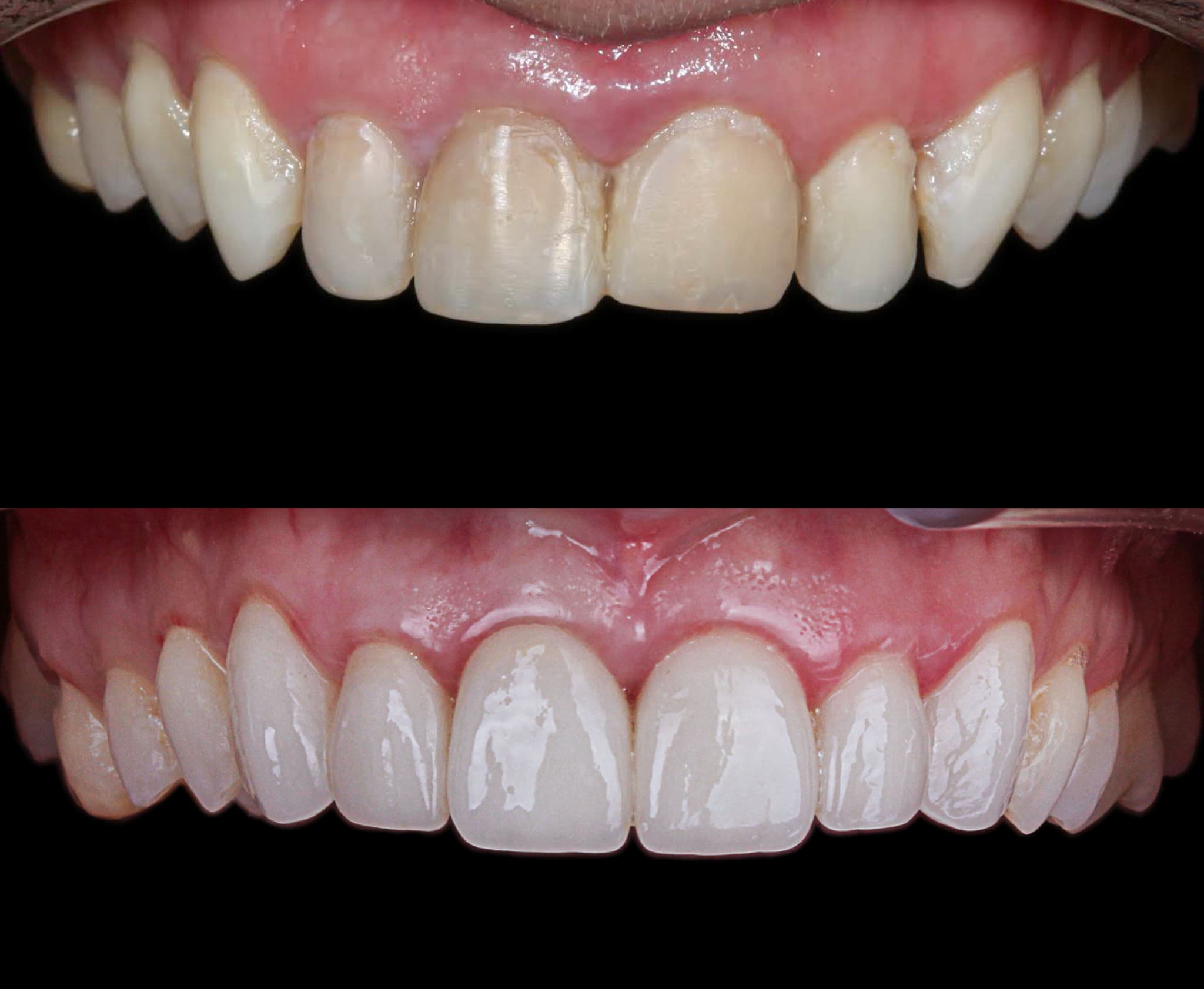
美しい笑顔を保つために多くの方に選ばれているのが、歯のセラミック治療です。セラミック治療は、単に見た目を整えるだけでなく、機能性や耐久性の面でも優れた効果を発揮します。
しかし、治療を受けるにあたって気になるのが、その費用ではないでしょうか。セラミック治療は保険適用外であることが多く、種類によって値段に大きな差があります。
この記事では、セラミック治療に使用される素材ごとの値段をご紹介します。高額な理由やセラミック治療のメリットについても解説しますので、ぜひ参考にしてください。
セラミック治療に使用される素材とその値段

ここでは、主なセラミック素材ごとの一般的な値段をご紹介します。
オールセラミック
オールセラミックは、すべてがセラミックで構成された素材で、透明感が高く自然な見た目に仕上がる点が特徴です。審美性を重視する治療で多く用いられます。
詰め物の費用はおよそ5万円〜8万円程度、被せ物は8万円〜20万円程度が目安です。歯の色に近い仕上がりが得られ、前歯にも使用されることが多い一方で、強い力がかかる部位では慎重な判断が求められます。
ジルコニア
ジルコニアは、セラミック素材のなかでも非常に高い強度を持つ素材です。
強度が高いため、噛む力が強くかかる奥歯にも多く使われます。また、金属を使わない素材なので、見た目が自然で、金属アレルギーの症状が現れる心配もありません。オールセラミックと比べるとやや白さの透明感は落ちるものの、自然な仕上がりになります。
詰め物の費用は6万円〜12万円程度、被せ物の費用は10万円〜20万円程度です。
ハイブリッドセラミック
ハイブリッドセラミックは、セラミックと歯科用樹脂であるレジンを組み合わせた素材です。適度な柔軟性があり、周囲の歯への負担が少ないとされています。
ハイブリッドセラミックの詰め物の費用は3万円〜5万円程度、被せ物の費用は4万円〜8万円程度が目安です。ほかのセラミック素材に比べて費用を抑えられる点が特徴ですが、長期間の使用では摩耗や変色が見られることがあるため、使用部位や目的に応じた検討が必要です。
メタルボンド
メタルボンドは、内側に金属のフレームを使い、その外側にセラミックを焼き付けた被せ物です。金属の強度とセラミックの審美性を兼ね備えているため、前歯から奥歯まで幅広く使われます。
ただし、金属を使っているため、長期間の使用で歯ぐきの色が黒ずんで見えることがあります。また、金属アレルギーの心配がある方は、事前に歯科医師に相談しましょう。メタルボンドの費用は1本あたり8万円〜15万円程度が一般的です。
セラミック治療が高額な理由

セラミック治療は保険診療と比較して費用が高くなる傾向があります。ここでは、その理由について解説します。
保険が適用されないため
セラミック治療の多くは自由診療に分類されます。日本の保険診療では、機能回復を目的とした最低限の材料や方法に制限されており、見た目や耐久性を重視した素材は基本的に含まれていません。
そのため、セラミックのように審美性や品質に優れた素材を選択する場合は保険適用の対象にならず、費用を全額自己負担する必要があるのです。
高品質な材料を使用するため
セラミック治療では、見た目の自然さと耐久性を重視し、品質の高い材料が使用されます。オールセラミックやジルコニアは、天然歯に近い色合いや透明感を再現しやすく、変色しにくいといった特徴があります。
これらの素材は保険診療で使用される材料と比べて原価が高く、その分が治療費に反映されるのです。見た目と機能性の両方を高めるための材料が使用されることが、費用に影響する要因の一つとなっています。
作製には高い技術力と手間が必要になるため
セラミックの詰め物や被せ物は、患者さんごとの歯の形や色に合わせて一つずつ作られます。そのため、細かな調整を重ねながら仕上げる必要があり、完成までに複数の工程を経ることになります。
また、周囲の歯となじむ色合いや自然な形を再現するためには、細部まで丁寧に作り込むことが重要です。さらに、口の中で違和感が出ないように噛み合わせの確認や調整も行われます。こうした工程には時間と手間がかかるため、その分のコストが治療費に反映されるのです。
セラミック治療を受けるメリット

セラミック治療は高額ですが、そのぶん多くのメリットがあります。ここでは、セラミック治療を受けるメリットをご紹介します。
天然歯のような自然な見た目を再現できる
セラミックは光を適度に透過する性質があり、天然歯に近い色合いや質感を表現しやすい素材です。そのため、周囲の歯と調和しやすく、前歯など目立つ部位でも違和感の少ない仕上がりが期待できます。
色の調整も細かく行えるため、患者さんの歯に合わせた自然な見た目を再現できる点が大きな特徴です。
変色しにくい
セラミックは水分をほとんど吸収しない素材であるため、コーヒーやお茶、ワインなどによる着色の影響を受けにくいという性質があります。保険診療で使用されるレジンと比較すると、長期間にわたり色調を維持しやすく、見た目の変化が少ない点が特徴です。
金属アレルギーの心配がない
オールセラミックやジルコニアなどの素材は金属を含まないため、金属アレルギーのリスクを避けることができます。口腔内に金属が存在しないことで、体質による影響を気にする必要が少なくなる点は大きな利点です。また、金属の溶け出しによる歯ぐきの変色が起こりにくい点も特徴の一つです。
ただし、メタルボンドは内側に金属を使用しているため、金属アレルギーの心配がある方は避けたほうがよいでしょう。
虫歯になりにくい
セラミックは表面が滑らかで、汚れやプラークが付着しにくい素材です。そのため、細菌が増えにくく、口腔内を清潔な状態に保ちやすいという特徴があります。
また、セラミックは天然歯との適合性が高く、すき間が生じにくいとされています。細菌が入り込みにくいため、虫歯が再発するリスクが低いといわれているのです。
セラミック治療を受けるときの注意点

セラミック治療には多くのメリットがありますが、治療を受ける際にはいくつかの注意点も理解しておく必要があります。
定期的なメンテナンスが必要
セラミックの歯を長く保つためには、装着後の定期的なメンテナンスが欠かせません。セラミック自体は虫歯になりませんが、土台となる天然歯は虫歯や歯周病のリスクが残ります。また、使っていくうちにセラミックが欠けたり、接着剤が劣化したりすることもあります。
こうした問題を早期に発見し対処するためにも、定期的に歯科医院でチェックを受けることが重要なのです。
強い衝撃が加わると破損することがある
セラミックは丈夫な素材ではありますが、過度な力が加わると割れたり欠けたりすることがあります。特に歯ぎしりや食いしばりの癖がある方は注意が必要で、場合によってはナイトガードと呼ばれる専用のマウスピースの使用を勧められることもあります。
また、硬い食べ物を前歯で噛んだり、誤って歯をぶつけたりすると破損する可能性があるため、日常的な使い方にも気を配ることが大切です。
歯を削る必要がある
セラミック治療では、被せ物や詰め物を装着するために、もともとの歯を一定量削る必要があります。
削る量は歯の状態などによって異なりますが、一度削った歯は元に戻すことができません。また、削ることで歯の神経に影響を及ぼすこともあるため、事前に歯科医師に確認のうえ、慎重に判断することが大切です。
まとめ

セラミック治療は、見た目の自然さと機能性の両方を重視したい場合に選ばれる治療法です。
オールセラミックやジルコニア、ハイブリッドセラミック、メタルボンドなど素材ごとに特徴や費用が異なり、詰め物と被せ物でも価格に差があります。こうした違いを理解することで、ご自身に合った選択がしやすくなります。
セラミック治療は高額ですが、自然な見た目や変色のしにくさ、金属を使用しないことによる安心感、虫歯リスクの軽減といった利点もあります。
その一方で、治療後は定期的にメンテナンスが必要であること、強い衝撃が加わると割れることがあること、歯を削る必要があることも理解しておく必要があります。治療内容や特徴を理解したうえで、歯科医師としっかり話し合いながら進めることで、自分に合った選択がしやすくなります。
セラミック治療を検討されている方は、福岡市中央区天神、西鉄「福岡天神駅」より徒歩6分、福岡市営地下鉄「天神駅」1番出口より徒歩4分にある歯医者「山道歯科 国際矯正・インプラントクリニック」にお気軽にご相談ください。
当院は、「お口本来の機能を回復させ、より美しくより長持ちさせる」ことをコンセプトに診療にあたっています。一般歯科だけでなく、インプラント治療や矯正治療、歯周組織再生療法などにも力を入れております。





























