ブログ

Concept治療例や医院からの
TOPICを紹介

  • TOP>
  • 天神でリンガル矯正|上顎4番抜歯で口元と噛み合わせを改善した症例

2026.04.15

天神でリンガル矯正|上顎4番抜歯で口元と噛み合わせを改善した症例


【症例】上顎4番抜歯+リンガル矯正で前歯の突出と咬合を整えた一例(福岡・天神)

こんにちは。福岡市中央区天神、西鉄「福岡天神駅」より徒歩6分、福岡市営地下鉄「天神駅」1番出口より徒歩4分にある歯医者「山道歯科 国際矯正・インプラントクリニック」です。今回は、前歯と口元の突出感を感じていた患者様に上顎小臼歯(4番)の抜歯を併用したリンガル矯正について、実際の症例をもとにお話しします。矯正相談の中でかなり多いのが、「できれば歯は抜きたくない」というご希望です。気持ちはよく分かります。ただ、実際の臨床では、抜歯を選択することでしか得られない“機能的なゴール”があるのも事実です。

患者様の相談内容
20代女性
・前歯が前に出ている感じがする
・口元が閉じにくい
・歯並びも気になるが、口ゴボや出っ歯を解消したい
審美的な悩みが主でしたが、診断していくと、単なる見た目の問題ではありませんでした。

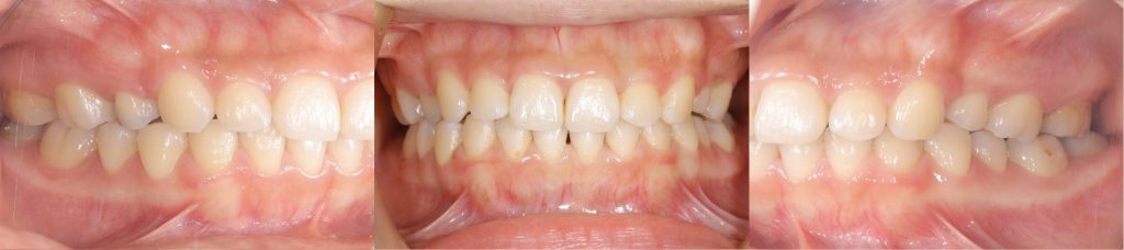
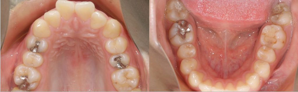
リンガル矯正前の正面観
リンガル矯正前の咬合面観

歯並びだけを見ると「少しガタついている」程度に見えるかもしれません。
ただ、重要なのはそこではなく、
・前歯の前方傾斜
・歯列全体の前方偏位
・奥歯での咬合支持の弱さ といった、上顎歯列全体が前方に傾いている際に見られるバランスの崩れです。

この状態で非抜歯矯正を行うと、

・前歯がさらに前に出る
・歯肉が下がるリスクが上がる
・後戻りしやすくなる といった問題が予測されます。

治療方針:上顎4番抜歯の意味

今回の症例では、上顎左右の4番を抜歯しています。
ここで誤解されやすいのですが、抜歯は「スペースを作るため」だけに行うものではありません。
本質は、 上下の咬合バランスと歯列矯正が顔貌に与える影響をコントロールするための手段です。
今回のゴールは、

・前歯を無理のない位置まで後退させる
・口元の自然なラインを作る
・奥歯でしっかり噛める状態を作る

この3点でした。
そのためには、明確にコントロールできるスペースが必要と判断しました。

■リンガル矯正を選択した理由

装置はリンガル矯正(裏側矯正)を使用しています。
患者様の希望はもちろんありますが、それだけではありません。
この症例では、
・前歯の後退量が大きい
・トルクコントロールが重要
・口元の変化をコントロールしたい

という条件がありました。

リンガル矯正は、
・歯の傾きを細かくコントロールしやすい
・前歯を後方に引き込みながら歯軸を整えるのに適しているという特徴があり、この症例との相性が良いと判断しました。

■治療経過

リンガル矯正中の正面観
リンガル矯正中の咬合面観

治療は以下の流れで進みます。

  1. 局所麻酔下で上顎4番抜歯(10分程度)
  2. 歯列のガタ付きの改善(6ヶ月程度)
  3. スペースクローズを伴う前歯の後退(18ヶ月程度)
  4. 矯正装置の除去・保定装置装着・咬合の微調整

この中でも特に重要なのが、スペースクローズの段階です。ここでは単純に隙間を閉じるのではなく、

・前歯の角度
・前歯の位置
・奥歯の安定

を同時にコントロールしていきます。

ここが崩れると、
・口元が引っ込みすぎる
・うさぎの歯のように歯が寝てしまう(ラビッティング)
・噛み合わせが不安定になる

といった問題につながります。

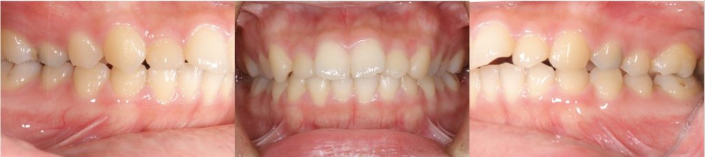
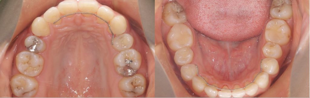
■術後結果

治療後は
・前歯と口元の突出感の改善
・口唇閉鎖のしやすさの向上
・咬合の安定

見た目の変化も大きいですが、それ以上に重要なのは、Angle Class 1 の咬合で機能的に安定した位置に歯が並んでいることです。

■術後結果

リンガル矯正後の正面観
リンガル矯正後の咬合面観

治療結果と治療後の変化

治療期間は約2年間で、その後は咬合調整で噛み合わせの安定を図っています。

■この症例で一番伝えたいこと

矯正治療でよくある議論に、「抜歯か非抜歯か」、「ワイヤーかマウスピース矯正か」などがありますが、これは本質ではありません。

重要なのは
・どこに歯を動かすのか
・その位置が長期的に安定するのか
・歯周組織と咬合に無理のない矯正装置選択なのか

この3点です。

結果として抜歯になることもあれば、非抜歯で済むこともあります。
ただ、抜歯が必要なケースで抜歯を避ける方がリスクになることもある
というのは臨床上よくある話です。

同じように悩んでいる方へ

「抜歯が必要と言われた」
「見えない矯正方法が良いがマウスピース矯正は不安」
「リンガル矯正でどこまで治るか知りたい」

そのように感じている方は少なくありません。もちろん、すべての症例でリンガル矯正や抜歯矯正が適応とは限りません。しかし、診断の視点が変われば、治療の選択肢が変わることはあります。 特に成人矯正では、二次元ではなく三次元的に骨と歯の関係を捉えることで、新たな可能性が見えてくることがあります。

大切なのは、「抜歯をするかしないか」「マウスピース矯正かリンガル矯正か」を先に決めることではなく、まずご自身の状態を正確に診断し、そのうえでどの方法が最も合理的で、長期的に納得できる治療なのかを考えることです。

当院の精密検査について

当院では、精密検査(55,000円)にて、見た目だけではなく、骨・歯・咬合の関係を総合的に評価します。抜歯が本当に必要なのか、どの程度まで抜歯で機能性と審美生を保てるのかを、一人ひとりの状態に応じて丁寧にご説明しています。

まずは、今の診断に本当に納得できているか、他に選択肢がないのかを知るためのセカンドオピニオンとしてご相談いただければと思います。

ご予約・ご相談はURL先のピンクのボタン次へを押して問診票へご記入をお願いします
https://www.genifix.jp/yamamichi-dc-caa/s/login/

治療担当医・記事監修:山道 研介

担当医プロフィール
Dr. 山道 研介

デジタル矯正学会認定医日本歯周病学会認定 歯周病専門医
PRD日本版、国際誌等に論文掲載多数

  • 歯周再生・矯正・インプラント・審美補綴の統合治療に精通
  • 『THE NEXT LEVEL 骨造成の完成形(Istvan. Urban著)』日本語版 翻訳統括を担当
  • 成人矯正を安全に導くための矯正治療症例が世界最新テクニックとしてPRD日本版に掲載
  • GBR後20年の長期インプラント成功症例が世界最新テクニックとしてPRD日本版で掲載
  • クインテッセンス出版主催 World Young Dental Innovators Meeting にて日本を代表する若手臨床家として2期連続選出
  • 非抜歯矯正の適応症を拡大させるためのSIED Techniqueの開発者
患者様
  20代 女性
診察結果
 上顎前突、Angle Class2、出っ歯、口ゴボ
治療内容
  歯列矯正治療、リンガル矯正治療、抜歯矯正治療
治療完了日と治療期間
  2021年6月(2年程度)
総治療費
  約132万円(税込)〜
治療後のメンテナンス
  3ヶ月に1回の通院によるかみ合わせや歯周病の進行状態のチェック
治療等の主なリスクや副作用等

歯科矯正治療は矯正装置装着後、個人差がありますがある一定の期間痛みを伴いますので、食事がとりにくかったり、物が噛みづらい、発音しづらい、口内炎ができるなどの不快感を伴う場合があります。口の中が狭い人、広い人で痛みの度合いが変わります。また、矯正治療は定期的な通院などの患者様のご協力が必要です。矯正装置の種類によりメリットデメリットがありますので、詳しくは治療計画説明の時にお伝えいたします。

治療開始前の診断

上記説明は例を挙げての治療の説明であり、個々の患者様の状態や難易度により治療の費用、方法や結果が異なります。治療の方針や治療費、治療等の主なリスクや副作用等に関しては治療開始前にご説明致しますので、まずは当院まで治療の相談を予約されて下さい。

症例一覧
症例アーカイブ
YAMAMICHI DENTAL CLINIC山道歯科医院YAMAMICHI DENTAL CLINIC山道歯科医院

Tel: 0120-468-296

〒810-0001
福岡県福岡市中央区天神3丁目5−13

  • YAMAMICHI DENTAL CLINIC山道歯科医院YAMAMICHI DENTAL CLINIC山道歯科医院
  • YAMAMICHI DENTAL CLINIC山道歯科医院YAMAMICHI DENTAL CLINIC山道歯科医院
  • YAMAMICHI DENTAL CLINIC山道歯科医院YAMAMICHI DENTAL CLINIC山道歯科医院
  • YAMAMICHI DENTAL CLINIC山道歯科医院YAMAMICHI DENTAL CLINIC山道歯科医院
  • YAMAMICHI DENTAL CLINIC山道歯科医院YAMAMICHI DENTAL CLINIC山道歯科医院
01 05
prev
next

Access

アクセス

地下鉄空港線天神駅1番出口 徒歩3分 西鉄福岡(天神)駅 徒歩4分 西鉄天神3丁目 徒歩1分 山道歯科医院地下鉄空港線天神駅1番出口 徒歩3分 西鉄福岡(天神)駅 徒歩4分 西鉄天神3丁目 徒歩1分 山道歯科医院

Hours

診療時間

Hours診療時間
通常 9:00 - 13:00 / 14:30 - 18:00
Hours診療時間
特別 9:00 - 13:00 / 13:30 - 17:00
Hours診療時間
休診日