歯列矯正天神でリンガル矯正|上顎…【症例】上顎4番抜歯+リンガル矯正で前歯… 本文を読む
インプラント40代女性、ガタガタの歯…「前歯の見た目をきっかけに、口元全体が生… 本文を読む
歯列矯正【症例】20-30代 八…治療概要 患者様 30代 女性 診察結果… 本文を読む
歯列矯正【症例】20-30代 開…「前から滑舌がわるい気がするし、最近“え… 本文を読む
歯列矯正【CASE】非抜歯矯正治…治療概要 患者様 38歳 男性 診察結果… 本文を読む
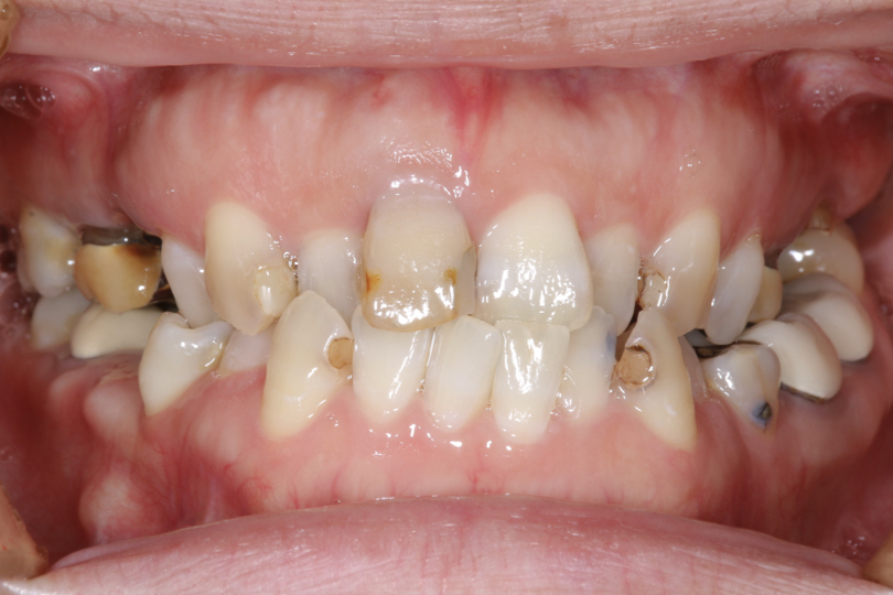
歯列矯正【症例】歯周病の改善と成…治療概要 患者様 43歳 女性 診察結果… 本文を読む
歯列矯正【CASE】インプラント…治療概要 患者様 23歳 女性 診察結果… 本文を読む
歯列矯正【CASE】非抜歯矯正治…治療概要 患者様 48歳 女性 診察結果… 本文を読む
歯列矯正【CASE】非抜歯矯正治…治療概要 患者様 31歳 女性 診察結果… 本文を読む
歯列矯正【CASE】非抜歯矯正治…治療概要 患者様 50歳 女性 診察結果… 本文を読む
歯列矯正
Case治療例を写真や
イラストで詳しく紹介
- TOP>
- 歯列矯正
01
/
05
Access
アクセス


Hours
診療時間

- 通常 9:00 - 13:00 / 14:30 - 18:00

- 特別 9:00 - 13:00 / 13:30 - 17:00

- 休診日
























